中华康网首页
男性 健身 | 休闲 | 保健 | 疾病 | 爱好 | 品味
女性 美容 | 整形 | 减肥 | 职场 | 情感 | 育儿
健康 男科 | 妇科 | 疾病 | 外科 | 体检 | 食疗 | 心理
生活 家居 | 旅游 | 养生 | 急救 | 解梦 | 星座 | 美食
医学药学 | 健康资讯
中医中药 | 老人健康
疾病 男科疾病 泌尿外科 妇科 产科 不孕不育 儿科 口腔 骨科 肛肠 眼科 耳鼻喉 皮肤病 性病 肝病 心血管
专题推荐: 感冒 肺结核 前列腺炎 颈椎病 便秘 痔疮 乙肝 脂肪肝 高血压 冠心病 中风 糖尿病 痛风 老年痴呆 癫痫 阴道炎 乳腺增生 无痛人流 牛皮癣 白癜风 淋病 肿瘤
您的位置: 中华康网 >> 宫颈糜烂常识 >> 重度宫颈糜烂症状的图片

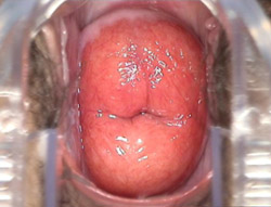
重度宫颈糜烂症状的图片


www.cnkang.com  2009-11-24  中华康网    
核心提示:重度宫颈糜烂症状的图片  重度宫颈糜烂……

轻度、中度、重度宫颈糜烂症状的图片

 

重度宫颈糜烂

  • 搞笑
  • 女性
  • 生活
  • 热点
  • 精彩推荐