小叶肺炎是什么病,能治愈吗

    发布时间:2025-10-22   来源:中华康网   

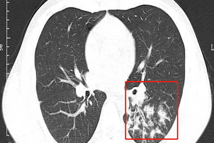
小叶肺炎是一种由病原体感染引起的肺部化脓性炎症,但通过及时、规范的治疗和有效的预防措施,是可以完全治愈的。

小叶肺炎是一种由细菌、病毒等病原体感染引起的肺部化脓性炎症,其病变特点是以细支气管为中心,向周围及纵深发展,最终影响所属的肺泡,形成以小叶为单位的灶状散布的肺化脓病灶。小叶肺炎常见于小儿、老年人及体弱多病者,尤其在冬春寒冷季节发病率较高。

小叶肺炎在大多数情况下是可以完全治愈的,治疗的关键在于及时发现并接受适当的抗生素治疗。通过选用敏感的抗生素,可以有效抑制病原体的生长和繁殖,减少肺部损伤,促进炎症消退。另外患者还需遵循医嘱,规范用药,并注意休息,避免剧烈运动,以利于病情康复。

值得注意的是,小叶肺炎的预后和恢复速度可能受到患者自身条件的影响。如果患者存在慢性疾病如糖尿病、心血管疾病等,或者免疫力低下,可能会增加治疗的难度和恢复的时间。因此,在治疗过程中,医生会根据患者的具体情况制定个性化的治疗方案,并密切关注病情变化,及时调整治疗策略。

此外,预防小叶肺炎的发生同样重要。通过加强个人卫生,避免与病原体接触,保持室内空气流通,以及增强身体免疫力等措施,可有效地降低小叶肺炎的发病风险。对于易感人群,如小儿和老年人,更应注重预防工作,避免疾病的发生和传播。

温馨提示:以上资料仅供参考,具体情况请免费咨询在线专家 立即咨询
小叶性肺炎的病变实质是什么 
小叶性肺炎的病变实质是化脓性炎症,这种炎症涉及到肺组织的微观结构改变、炎症细胞的活动以及病原体的作用等多个方面。患者应积极配合医生进行治疗,并定期进行复查。•小...
    热点排行